Распространенность грибкового синусита среди людей с иммунодефицитами выросла почти вдвое
При этом смертность снизилась более чем на 10 процентов
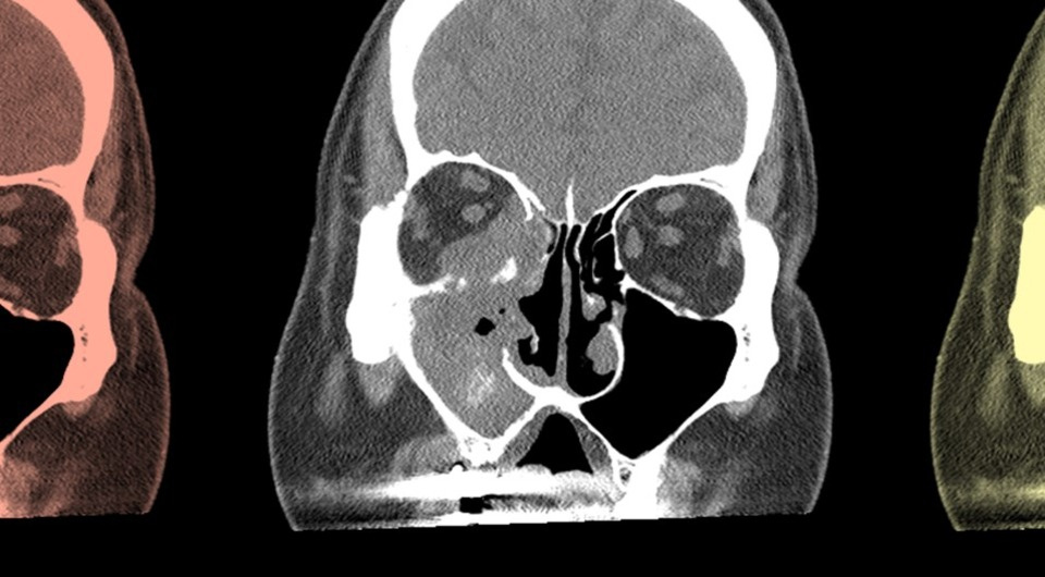
Систематический обзор и метаанализ показали, что общая доля случаев острого инвазивного грибкового риносинусита среди пациентов с ослабленным иммунитетом увеличилась на 7,5 процентного пункта за период после 2013 года. При этом, как сообщается в журнале JAMA Otolaryngology — Head & Neck Surgery, смертность от этой патологии снизилась с 41,9 процента в период до 2013 года до 28,2 процента в период после 2013 года.
Острый инвазивный грибковый риносинусит считается потенциально опасным для жизни заболеванием, которое часто возникает у пациентов с иммунодефицитами. Инфекция развивается из-за инфильтрации слизистой оболочки носа и околоносовых пазух грибковыми организмами родов Aspergillus, Candida и Mucor и приводит к повреждению тканей, некрозу, а в тяжелых случаях — к распространению инфекции в другие органы.
