Восемь значимых событий 2025 года в биологии и медицине
1Заплатка для сетчатки
Говоря о высокотехнологичных протезах, обычно имеют в виду протезы конечностей. Современные искусственные ноги и руки так соединены с нервной системой человека, что не просто двигаются, но и обладают определённым осязанием: протез позволяет в какой-то мере почувствовать текстуру поверхности или силу, с которой человек сжимает предмет искусственной кистью. Но руки и ноги, прямо скажем, не самые сложные части тела, а осязание — не самое сложное из чувств. И если взять, к примеру, глаз, то глазной протез — это пока что-то из области фантастики. Впрочем, не исключено, что создание глазного протеза не такая уж неразрешимая задача, как кажется на первый взгляд.
В последнее время появляется много работ, в которых ищут способ справиться с макулярной дегенерацией сетчатки, или макулодистрофией. Макулой, или жёлтым пятном, называют овальную зону сетчатки с наибольшей остротой зрения, расположенную напротив зрачка. Благодаря рецепторам макулы мы можем читать, писать, водить машину, различать самые мелкие детали. У некоторых людей рецепторы макулы начинают со временем стремительно отмирать. Развивается макулодистрофия — одна из самых частых причин слепоты у пожилых людей.
Какие здесь есть варианты? Обычно ставка делается на клеточную и генную инженерию. В сетчатку можно пересадить здоровые рецепторы от донора; можно внедрить в нерецепторные клетки сетчатки ген, который превратит их в рецепторы; можно генетическим редактированием затормозить гибель палочек и колбочек пациента; можно использовать стволовые клетки, превратив их в специализированные клетки сетчатки и пересадив в больной глаз. Всё это в большинстве случаев ограничивается пока только экспериментами на животных, хотя эксперименты со стволовыми клетками проводили на людях, и даже относительно успешно. Однако возможен и другой подход.
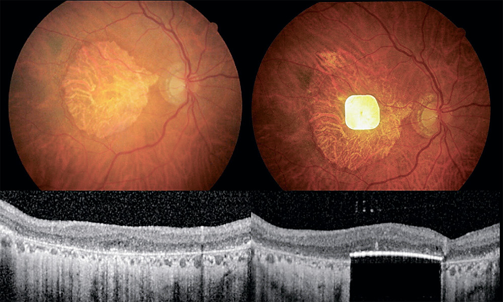
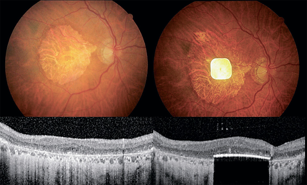
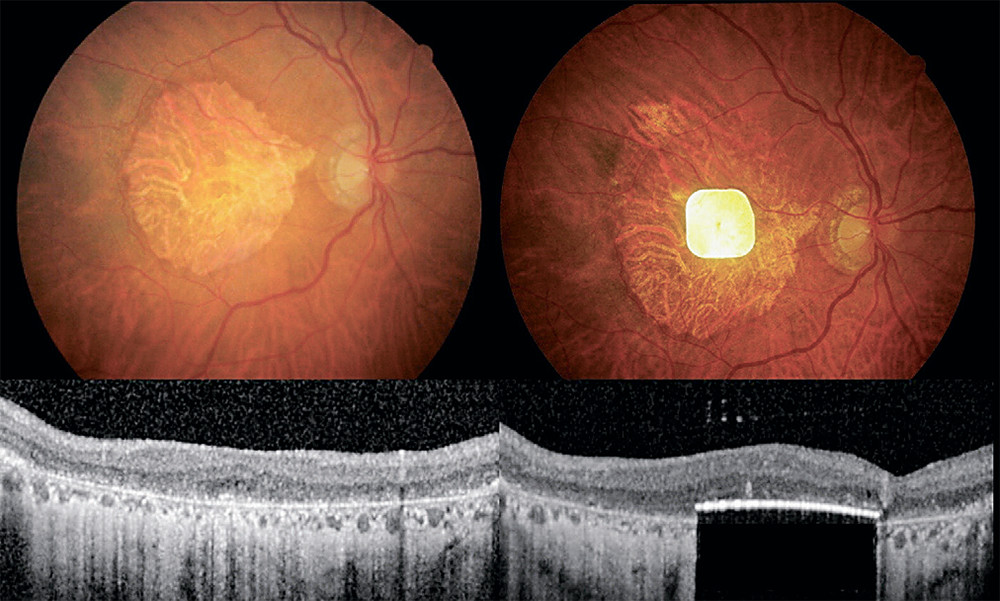
В октябре прошлого года в New England Journal of Medicine была опубликована статья о фотовольтаическом имплантате, который внедряли в сетчатку больным с макулодистрофией. При макулярной дегенерации отмирают только рецепторы, то есть остаётся возможность передавать оставшимся нервным клеткам электрические импульсы, которые по зрительному нерву отправятся в мозг. Имплантат как раз и должен был заменить отмершие рецепторы. В исследовании приняли участие 38 человек, у которых макулодистрофия началась давно. Фотовольтаические устройства превращают энергию света в электрический ток; имплантат размером 2 × 2 мм и толщиной 20 мкм с помощью электрического тока стимулировал нейроны сетчатки. Правда, этот имплантат работал от инфракрасного света, так что участники исследования должны были носить специальные очки, превращавшие обычный свет в инфракрасный. Очки позволяли менять контрастность и яркость, и после операции человек ещё несколько месяцев тренировался, чтобы научиться ими пользоваться.
К концу эксперимента из 38 человек по разным причинам осталось 26. Зрение у них действительно улучшилось: в обычном зрительном тесте с уменьшающимися рядами букв они стали различать дополнительно два ряда. Большинство снова смогли читать, по крайней мере, в домашней обстановке. Правда, нельзя сказать, что их зрение вернулось к прежнему состоянию. Скорость чтения оставалась низкой: участники исследования различали числа, буквы и слова, но необходимость соединять слова требовала усилий. Кроме того, зрение было чёрно-белым, распознавать цвета имплантат не позволяет. Во многом это связано с количеством элементов в нём, которые переводят свет в электрические импульсы, но тут можно надеяться, что конструкцию имплантата будут совершенствовать. Ещё остаётся вопрос, насколько улучшение зрения было обусловлено собственно имплантатом, а насколько — усилиями самого человека, который тренировался пользоваться инфракрасными очками. Вообще, в перспективе может оказаться, что для протезов-имплантатов сетчатки нужно будет использовать не фотовольтаические устройства, а какие-то другие. Но в данном случае сам факт, что начали появляться подобные устройства, пусть несовершенные и сугубо экспериментальные, кажется весьма знаменательным событием.
2Генетический редактор спасает детей
Генетическую инженерию используют в медицине не первый год. Но использовать её можно по-разному. В одних случаях у пациента берут делящиеся клетки, исправляют в них генетический дефект и вводят обратно: исправленные клетки замещают собой больные. В других случаях генетический редактор вводят прямо в организм пациента, где он просто отключает определённый ген, который доставляет проблемы и без которого можно обойтись. Бывает, что отключаемый ген не является непосредственной причиной болезни, однако, подавив его работу, можно запустить компенсаторные механизмы, смягчающие патологию.
В случае, который описан в мае 2025 года в New England Journal of Medicine, всё было сложнее: неправильно работающий ген требовалось не отключать, но исправить. Пациентом был ребёнок, которому не исполнилось ещё и года, с недостаточностью фермента карбамоилфосфатсинтетазы I (CPS I). И у отца, и у матери одна из копий гена фермента оказалась мутантной, но никакой недостаточности у них не было — здоровая копия работала как надо. Но ребёнку досталось по мутантной копии от каждого родителя. Карбамоилфосфатсинтетаза I участвует в цикле мочевины: с её помощью аммоний, образующийся при расщеплении белков, превращается в мочевину, которая выводится из организма. При неработающей CPS I ионы аммония NH4+ накапливаются в крови и, будучи токсичными, начинают вредить тканям и органам, в первую очередь мозгу. Чтобы как-то сдержать отравление аммонием, придерживаются специальной диеты с пониженным содержанием белков, но всех проблем диета не решает, особенно если учесть, что у младенческого организма есть свои требования к питанию. От недостаточности карбамоилфосфатсинтетазы I можно избавиться пересадкой печени, так как реакции цикла мочевины идут в печёночных клетках. Но тут была большая вероятность, что ребёнок просто не доживёт до того момента, когда ему можно будет пересаживать печень.
Было решено использовать генетический редактор CRISPR/Cas*. В самых общих чертах его суть такова: с помощью модифицированных бактериальных ферментов ДНК разрезают в строго определённом месте, после чего сама клетка зашивает разрез в соответствии с шаблоном, который в неё вводят вместе с разрезающим ферментом. Какой шаблон дадут клетке, так и будет выглядеть редактируемый участок генома. Метод оказался очень точным и сравнительно простым — по сравнению с другими способами генетического редактирования.
* См. статью: Стасевич К. Редактор для генома. «Наука и жизнь» № 12, 2020 г.
Потребовалась большая работа, чтобы настроить редактор на нужные участки ДНК в геноме именно этого конкретного ребёнка. Препарат давали трижды, и первую его дозу младенец получил, когда ему было полгода. Вскоре он стал есть обычную еду, соответствующую его возрасту, с обычным уровнем белков, хотя ему при этом давали лекарства, понижающие уровень аммония в крови. К восьми месяцам ребёнок получил вторую и третью дозы препарата с генетическим редактором; понижающие аммоний средства ему пока дают, но всё меньше и меньше. Никаких побочных эффектов не случилось, но врачи продолжают наблюдать, как всё идёт, и насчёт полного излечения говорят пока с осторожностью.
Стоит ещё раз подчеркнуть, что здесь не было никаких обходных путей, которые могли бы скомпенсировать недостаточность фермента, и ген нужно было не отключать, а исправлять. Это требует намного больших усилий, и лечение получается сугубо индивидуальное. То есть для другого человека с неработающим геном карбамоилфосфатсинтетазы генетический редактор нужно будет настраивать по-новому. Хотя не исключено, что в будущем перенастраивание генетического редактора под индивидуальный случай станет рутинной и вполне дешёвой процедурой.
3ИИ для вирусов
В последние годы мы наблюдаем настоящую революцию в искусственном интеллекте (ИИ), а точнее, в алгоритмических нейросетях глубокого обучения. Эти нейросети с энтузиазмом используют исследователи в самых разных областях. В огромном количестве ИИ-результатов есть очень значимые и не очень значимые, и выбрать из них самые-самые весьма непросто. Но всё же рискнём и вспомним одну работу, опубликованную в сентябре 2025 года на сайте bioRxiv. Её авторы с помощью ИИ конструировали новые бактериофаги, то есть вирусы, специализирующиеся на бактериях. За основу был взят фаг ΦX174, заражающий кишечную палочку. Среди многочисленных штаммов кишечной палочки есть такие, которые ΦX174 заразить не может. Задача была сделать варианты фага, которые могли бы заражать такие фагоустойчивые штаммы.
Сконструировать вирус означает сконструировать его геном. Алгоритм тренировали более чем на двух миллионах фаговых геномов. Затем он должен был, «держа в уме» фаг ΦX174, сделать геном против ΦX174-устойчивых кишечных палочек. На выходе получилось несколько тысяч геномных последовательностей, число которых потом уменьшили до 302. Большая часть из них была похожа на природный ΦX174 (сходство последовательностей составляло в среднем более 40%), но некоторые из предложенных вирусов оказались совсем другими. Иными словами, хотя основой должен был быть ΦX174, алгоритм, помня о двух миллионах фаговых геномов, в некоторых случаях отошёл от основы довольно далеко. Эти 302 последовательности проверили экспериментально на настоящих бактериях. Шестнадцать из них специфично заражали именно кишечные палочки. В итоге исследователи сумели составить комбинации из нескольких ИИ-сгенерированных фагов, которые поражали три разных штамма кишечной палочки, недоступные для обычного ΦX174.
